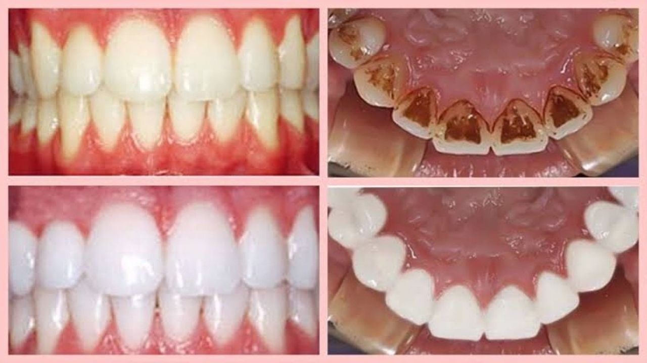
Eğer dişlerinizin sarardığından endişe ediyorsanız, dışarıda tonlarca para harcamanıza gerek yok. Artık paniğe kapılmanıza gerek yok. Bu yöntem, diş hekimlerinin profesyonel temizliğiyle yarışacak sonuçlar sunabilir. Sadece 1 bardak kullanarak, dişlerinizi bembeyaz yapmak artık mümkün. İşte sararmış dişlerinizi rahatlatacak mucizevi çözüm...
Gün içerisinde tüketilen besinler diş üzerinde belirli bir tabaka oluşturmaktadır. Özellikle kahve, çay ve sigara gibi şeylerin tüketilmesi dişlerin daha çok sararmasına neden oluyor. Dişlerinin sararmasından rahatsız olan pek çok kişi farklı yöntemler aramaya devam ediyor. Bazı kişiler evde uygulayabileceği pratik ve uygun fiyatlı yöntemler ararken kimileri de profesyonel hekimlerden yardım almayı tercih ediyor. Bu yöntemleri uygulayarak dışarıda tonla para vermenize gerek kalmayacak. İşte sararan dişlerin korkulu rüyası…
SARI DİŞLER NASIL BEYAZLATILIR?
Sararmış dişleri beyazlatmak için aşağıdaki yöntemleri deneyebilirsiniz:
1.Diş hekimi tarafından uygulanan profesyonel diş temizliği: Diş hekiminizin ofisinde yapılan profesyonel temizlik işlemi, dişlerin üzerinde biriken plak ve tartarın temizlenmesine yardımcı olur. Bu işlem, dişlerin daha beyaz ve parlak görünmesini sağlar.

2.Evde kullanılan diş beyazlatma ürünleri: Eczanelerde ve marketlerde satılan diş beyazlatma ürünleri, dişlerinizi beyazlatmaya yardımcı olabilir. Bu ürünler genellikle beyazlatıcı jeller, şeritler veya dişlere sürülen solüsyonlar şeklinde gelir. Ancak, bu ürünleri kullanmadan önce diş hekiminize danışmanız önemlidir.

3.Doğal yöntemler: Doğal malzemelerle diş beyazlatma yöntemleri de deneyebilirsiniz. Örneğin, karbonat ve suyla oluşturulan bir karışımı dişlerinize uygulayabilirsiniz. Ayrıca, çilek püresi veya limon suyu gibi doğal malzemeleri de dişlerinizi beyazlatmak için kullanabilirsiniz. Ancak, bu yöntemleri düzenli ve kontrollü bir şekilde kullanmalı ve diş hekiminizin önerilerine uymalısınız.

4.Sağlıklı ağız hijyeni: Dişlerinizi beyazlatmanın en önemli adımlarından biri, düzenli ve doğru bir şekilde ağız hijyeninizi sağlamaktır. Dişlerinizi günde en az iki kez fırçalamalı, diş ipi kullanmalı ve düzenli olarak diş hekiminize kontrole gitmelisiniz. Bu şekilde dişlerinizin daha beyaz ve sağlıklı görünmesine yardımcı olabilirsiniz.
Unutmayın, dişlerinizi beyazlatmadan önce mutlaka diş hekiminize danışmanız önemlidir. Diş hekiminiz size en uygun yöntemi ve ürünü önerecektir.
Sararmış Dişler Sadece 20 Dakikada Porselen Gibi Oluyor! Yüzde Yüz Çözüm İle Beyaz Gülüşe Kavuşun!KEŞFET